
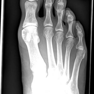
Schneiderballen – verdickter Kleinzehballen
Ähnlich wie an der Großzehe, kann es auch an der kleinen Zehe Fehlstellungen geben, wenn der entsprechende 5. Mittelfußstrahl zu weit abgespreizt ist. Es bildet sich eine schmerzhafte Schwiele am Köpfchen des 5. Mittelfußknochens, welche im Schuh drückt.
Je nachdem, wie stark die Fehlstellung ausgeprägt ist, kann es notwendig werden, den Knochen am Köpfchen abzutragen oder den Knochen im Köpfchenbereich beziehungsweise im Schaftbereich umzustellen (das 5. Mittelfußköpfchen wird dadurch wieder näher an das 4. herangebracht).



